What is quantification?

Perfusion is a recognized marker of tissue functionality and vitality.
Quantification of blood volume and flow is crucial for determining areas of different perfusion in whole organs/tissues due to impairment of blood supply or to characterize vascular patterns in different tissues and functional aspects of vascular physiology.

What is the software?

VueBox® Research is a general-purpose software for quantifying tissue perfusion using Dynamic Contrast-Enhanced Ultrasound (DCE-US). 


Vuebox® Research is for RESEARCH USE ONLY and is not intended for use in diagnostic and/or clinical procedures.


VueBox® Research provides a set of technical functionalities enabling the analysis of DICOM clips obtained with a wide range of ultrasound systems.
Its unique Bracco-patented technology and linearization process allow quantitative assessment of tissue perfusion after bolus injection or infusion.
 

Vuebox measuments

Key features

  • Solution to analyze DICOM clips from different ultrasound systems
  • Linearization of video data for accurate measurements
  • Optimized curve fitting based on Bracco-patented technology
  • Compatible with bolus and replenishment kinetics
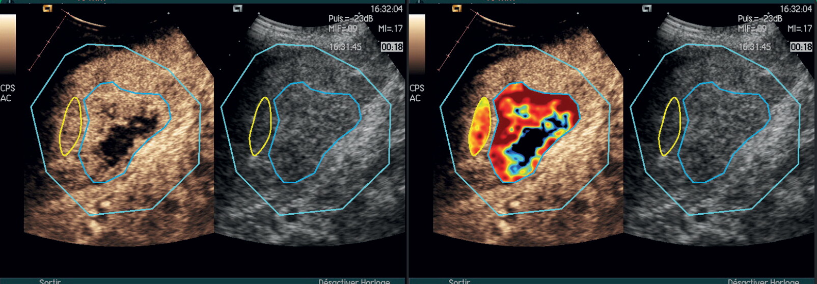
  • Multiple parametric images
vuebox key features

Additional features

  • Fully automatic motion compensation
  • Easy-to-use clip editor
  • Multiple window interface using tabs
  • Concatenation of multiple clips
  • Automatic detection of contrast arrival
  • Saving and retrieving of user-drawn Regions of Interest
  • Automatic management of side-by-side display (contrast and B-mode)
  • Length and area measurements
  • Real time clip player
  • Clip anonymization
Vuebox results

Management of analysis results

  • Saving and retrieving of analysis results and context
  • Export of graphs and images (BMP, TIF, JPEG), data (Excel compatible) and clips (WMV)
  • Generator of customizable and easy-to-read analysis report
Who will benefit of the software?

 

VueBox® Research is intended for Research Use Only.

 

VueBox® Research is intended for Clinicians and Researchers involved in research related to:

  • DCE-US perfusion quantification in any type of tissue (non-cardiac indications)
  • Obtaining accurate perfusion parameter values
  • Ensure compatibility with a wide range of ultrasound systems through specific calibration settings 
  • Export of the linearized experimental data and parametric images
  • Retrieving and comparing examinations over time 
  • Documenting their work for publication purposes
     
For Research Use Only - Not for clinical diagnosis

Vuebox® Research is for RESEARCH USE ONLY and is not intended for use in diagnostic and/or clinical procedures.  

For Research Use Only - Not for clinical diagnosis

Vuebox® Research is for RESEARCH USE ONLY and is not intended for use in diagnostic and/or clinical procedures.